Our surgeons have managed a high volume of sports-related shoulder injuries and instability using the latest arthroscopic and open treatment techniques. Numerous structures can be injured during competitive and recreational athletic participation. The most common structures injured include the labrum, biceps tendon, and ligaments around the clavicle. These can result in pain, and certain labral tears can also result in recurrent instability or shoulder dislocation. Damage to the rotator cuff can also occur, but this will be covered under the rotator cuff pathology section.
A shoulder dislocation involves the "ball" or humeral head dislocating or coming out of the "socket" or glenoid. The shoulder can dislocate out the front (anterior) or back (posterior). There is usually an associated tear in the labrum, which is a soft tissue bumper that goes around the socket to help stabilize the head. Additionally, sometimes a small fracture occurs at the rim of the socket. Immobilization followed by physical therapy is often successful for treatment, but sometimes if the shoulder remains unstable the labrum and any bony components need to be fixed surgically.

Anterior-inferior labral tear, or "Bankart Tear."

The labral tear after arthroscopic repair.
This video reviews an anterior-inferior labral tear with dislocation and arthroscopic repair.
This video reviews a Latarjet procedure for labral tear and bone loss with recurrent shoulder instability.
The biceps tendon can be injured at its attachment at the top of the socket (SLAP tear), its intra-articular portion, and its extra-articular portion just outside the joint. Pitching and other overhead activities result in the humeral head exerting a shear force on the superior labrum and biceps attachment, which can result in tearing. The biceps runs in a bony groove in the front of the humerus at the shoulder level and certain forces can result in tearing or inflammation of the tendon at this level and extend into the joint portion. Physical therapy and anti-inflammatory medications can often help with symptoms, but persistent symptoms can sometimes warrant surgical repair or debridement. This could include repairing the biceps anchor, debriding the biceps, or actually cutting out the torn or inflamed portions of the biceps and moving its attachment to the humerus.

Arthroscopic imaging of tearing along the intra-articular portion of the biceps long head tendon.

Arthroscopic imaging of tearing along the superior labrum, also termed a "SLAP" tear.
This video demonstrates one option for open biceps tenodesis or moving of the biceps tendon if it is torn or damaged.
This video demonstrates the arthroscopic repair of a SLAP tear.
There are ligaments between the end of the clavicle and the shoulder blade to keep the clavicle close to the body. These ligaments can be injured, usually from a direct fall onto the shoulder, causing the end of the clavicle to stick up. This is a shoulder separation or acromio-clavicular joint injury. It can usually be treated without surgery; however, if there is persistent pain or very high grade separations, surgical repair can be performed.

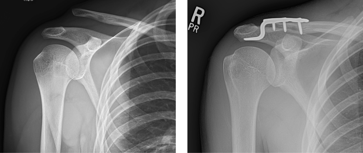
Pre-operative and post-surgical radiographs of a patient who sustained a high grade AC joint separation, treated acutely with a hook plate.
This video reviews AC joint separation and one surgical option for repair.