You may need shoulder replacement surgery if you experience loss of shoulder motion, pain, and difficulty with the daily activities of life. These symptoms occur when cartilage on your shoulder joint has worn out from wear-and-tear or injury.
Shoulder replacement is a common orthopedic procedure that can help if you are suffering from chronic shoulder pain. Chronic shoulder pain can be the result of degeneration of your shoulder joint, inflammation or trauma. Shoulder replacement involves replacing the ball and socket portion of your shoulder joint with a shoulder implant.
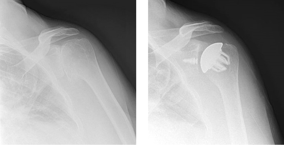
An anatomic total shoulder replacement involves resurfacing of the glenoid or "socket" with a plastic liner (high molecular weight polyethylene) and replacing the ball at the top of the arm (humeral head) with a metallic ball (usually cobalt chrome). Recovery is delayed after this procedure because the front rotator cuff tendon (subscapularis tendon) has to be cut to perform the procedure and then repaired once the implants are in place. This surgery is very successful at reducing pain and improving overall function. To be a candidate for an anatomic total shoulder replacement, you must have an intact rotator cuff, adequate glenoid bone stock to receive the plastic socket implant, and have significant pain refractory to non-operative treatments.

Pre-operative and post-operative x-rays of a patient with glenohumeral arthritis, treated with anatomic total shoulder replacement.
A video animation of anatomic total shoulder surgery.

Total shoulder replacement replaces both the ball and socket of the shoulder joint. This surgery involves the doctor making an incision approximately 4-6 inches long along the front of your shoulder. The operation takes 1 ½-2 hrs and is performed under general anesthesia with a nerve block to reduce pain after surgery.
The top end of your arm is shaped like a ball. Muscles and ligaments then hold this ball against a cup-shaped part of the shoulder bone. During surgery the doctor will replace the ball and socket joint of the shoulder with a plastic and metal implant. The images shown are two types of shoulder replacement implants. Your physician will decide which type is best for you. These new shoulder surfaces will give you improved motion.
You will awake from surgery in the recovery room with an I.V., bulky shoulder dressing, and a shoulder immobilizer/sling. Once your vital signs are stable and you are fully awake, you will be transferred to your hospital room.
Most people are able to get out of bed with help the day of surgery. Hospital stay is usually 1-2 days. You may be discharged home with nursing services and a therapist to help with your home exercises.
Once home, you are encouraged to be up and walking several times per day for short periods to restore your physical strength. You may be more comfortable resting or sleeping in a recliner type chair.
Home exercises are to be done 6 times per day to prevent shoulder stiffness. Formal physical therapy will begin when instructed by your surgeon usually 1-2 weeks after surgery.
For additional information about this procedure, including what to do to prepare for your surgery and at-home instructions, we have included this complete patient eduction sheet as a pdf to view, download and print:
BONE-PRESERVING
Traditional shoulder implants require removal of the top of your humerus so a “stem” can be inserted down into the bone canal. The Catalyst CSR™ Shoulder System is fixed without a stem to preserve as much of your strong, healthy bone as possible.

LESS INVASIVE
The Catalyst CSR™ Shoulder System is a less invasive shoulder replacement solution. The design may help to significantly reduce time or exposure to anesthesia and blood loss.
NATURAL SHAPE
The Catalyst CSR™ Shoulder System has a non-spherical design to mimic the shape of the normal human shoulder. Research has shown that shoulder implants designed this way move more like a normal shoulder than traditional spherical shoulder implants.
RAPID RECOVERY
When compared to traditional total shoulder arthroplasty, early data shows that on average, the Catalyst CSR system results in a shorter hospital stay, a smaller readmission rate, and a higher percentage of patients being discharged home instead of to a skilled nursing or inpatient rehab facility. This may lead to a quicker return to normal lifestyle and everyday activities.
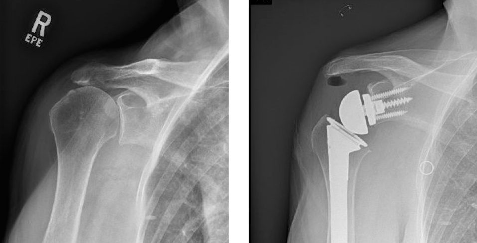
The reverse total shoulder was developed to help patients who have rotator cuff tears and shoulder arthritis. With a damaged rotator cuff, conventional anatomic total shoulder arthroplasty implants wear out too quickly. A reverse total shoulder involves replacing the ball and socket joints; however, the ball is moved to the "socket" side, and the "socket" is placed on the ball or humeral head side. This medializes and distalizes the center of rotation, allowing the deltoid muscle to raise the arm.
Although initially the reverse total shoulder was used for patients with shoulder arthritis with rotator cuff tears, it can also be used successfully in patients with shoulder arthritis who have significant glenoid or "socket" bone loss, complex proximal humerus fractures, chronic dislocations, revision of anatomic total shoulders, massive irreparable rotator cuff tears, and patients at high risk of developing rotator cuff tears with arthritis (advanced age, rheumatoid arthritis, etc.).

Pre-operative and post-operative xrays of a patient with rotator cuff tear arthropathy, treated with reverse total shoulder.
A video animation of a reverse total shoulder surgery.

The reverse shoulder replacement uses a ball-and-socket joint where the ball is placed on the shoulder blade and the socket is placed on the top of the arm bone. This is reverse of our normal anatomy and is designed to make the deltoid muscle, the large shoulder muscle that caps the end of the shoulder, work better to make up for the deficiency of your worn out rotator cuff tendon.
This surgery involves the doctor making an incision approximately 4-6 inches long along the front of your shoulder. The surgery takes 1 ½- 2 hours and is performed under a general anesthesia with a nerve block to reduce pain after surgery.
You should be examined by your family doctor to ensure you are healthy enough for the planned surgery. You are encouraged to stop smoking before surgery to prevent lung complications or delayed healing. Pre-admission testing (lab work, EKG, chest x-ray) will be scheduled prior to your surgery. Medications such as anti-inflammatory medications, aspirin, and blood thinning medications should be stopped one week before surgery unless otherwise specified by your family doctor.
Most people are able to get out of bed with help the day of surgery. Hospital stay is usually 1-2 days. You may be discharged home with nursing services and a therapist to help with your home exercises.
Once home, you are encouraged to be up and walking several times per day for short periods to restore your physical strength. You may be more comfortable resting or sleeping in a recliner type chair.
Home exercises are to be done 6 times per day to prevent shoulder stiffness. Formal physical therapy will begin when instructed by your surgeon usually 1-2 weeks after surgery.
The average recovery period for shoulder replacement surgery is 4-6 months. Lower impact activities such as walking, biking and swimming are good forms of exercises after your recovery period.
For additional information about this procedure, including what to do to prepare for your surgery and at-home instructions, we have included this complete patient eduction sheet as a pdf to view, download and print:
Partial shoulder replacement usually involves only replacing the ball side or humeral head, and it is termed a shoulder hemi-arthroplasty. In this procedure, the ball is replaced with a metallic head and the socket is left alone. This can be performed in very young patients with shoulder arthritis, fractures of the humeral head, and for pathology specific to the humeral head like avascular necrosis.

Pre-operative and post-operative xrays of a patient with humeral head avascular necrosis, treated with hemiarthroplasty surgery.
To help educate our patients and prepare them for before, during, and after surgery, we have created an informative video. If you are scheduled for shoulder replacement surgery or are considering it in the future, please click the link below to watch the video.