Please ensure Javascript is enabled for purposes of website accessibility
Urgent Care  Appointment Request

Mako Robotic-Arm Assisted Technology is transforming the way total hip replacement surgeries are being performed

Total Hip Replacement (THR) is a procedure designed for patients who suffer from non-inflammatory or inflammatory degenerative joint disease of the hip. The Mako technology provides your surgeon with a patient-specific 3-D model to pre-plan your hip replacement. During surgery, your surgeon guides the Stryker robotic-arm based on your patient-specific plan. This helps the surgeon to focus on removal of diseased bone, helping preserve healthy bone, and assists your surgeon in positioning the total hip implant based on your anatomy.

 

Mako Technology was designed to help surgeons provide patients with a personalized surgical experience based on their specific diagnosis and anatomy.

When you hear ‘robotic-arm assisted technology,’ it’s important to understand that the Mako Robotic-Arm doesn’t actually perform the surgery. Surgery is performed by an orthopaedic surgeon, who uses the Mako System software to pre-plan your surgery. Your orthopaedic surgeon will guide the Mako robotic-arm to remove diseased bone and cartilage. 

Mako robotic arm


The Mako robotic-arm assisted total hip replacement procedure may offer these benefits:

  • Increased accuracy and reduced dislocation rates versus manual total hip replacement
  • Less blood loss
  • Higher function and activity scores compared to manual total hip replacement

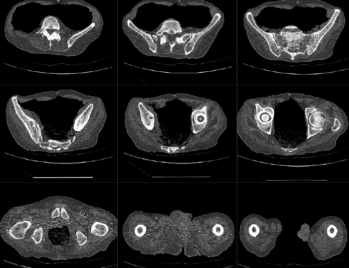
Before Surgery: A Plan Personalized for You

It all begins with a CT scan of your joint that is used to generate a 3D virtual model of your unique anatomy. This virtual model is loaded into the Mako system software and is used to create your personalized pre-operative plan.

CT scan of hip


In the Operating Room

During surgery, the surgeon guides the robotic-arm while preparing the hip socket and positioning the implant based on your personalized pre-operative plan. The Mako system also allows your surgeon to make adjustments to your plan during surgery as needed. When the surgeon prepares the bone for the implant, the Mako system guides the surgeon within the pre-defined area and helps prevent the surgeon from moving outside the planned boundaries. This helps provide more accurate placement and alignment of your implant.

Hip digital x rays


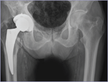
After Surgery

After surgery, your surgeon, nurses and physical therapists will set goals with you to get you back on the move. They will closely monitor your condition and progress. Your surgeon may review an x-ray of your new hip replacement with you.

Post surgery hip x ray

Mako Hip Specialists