Our surgeons are utilizing the newest total shoulder designs, including stemless implants to preserve bone, pre-operative CT scans to evaluate deformity, and patient specific instrumentation. We are also experienced in revision cases with significant bone loss or loose implants.
Wearing away of the cartilage in the shoulder joint can result in excruciating and debilitating pain in the shoulder. Patients will often notice pain and decreased range of motion. Physical therapy, anti-inflammatory medications, and cortisone injections can help alleviate the discomfort and improve function. When these measures fail and the pain is disrupting your basic activities, shoulder replacement surgery can significantly reduce pain and improve function. There are two main types of shoulder replacement – the anatomic and reverse total shoulder systems. In rare circumstances, a partial replacement of just the humeral head or ball can be performed.
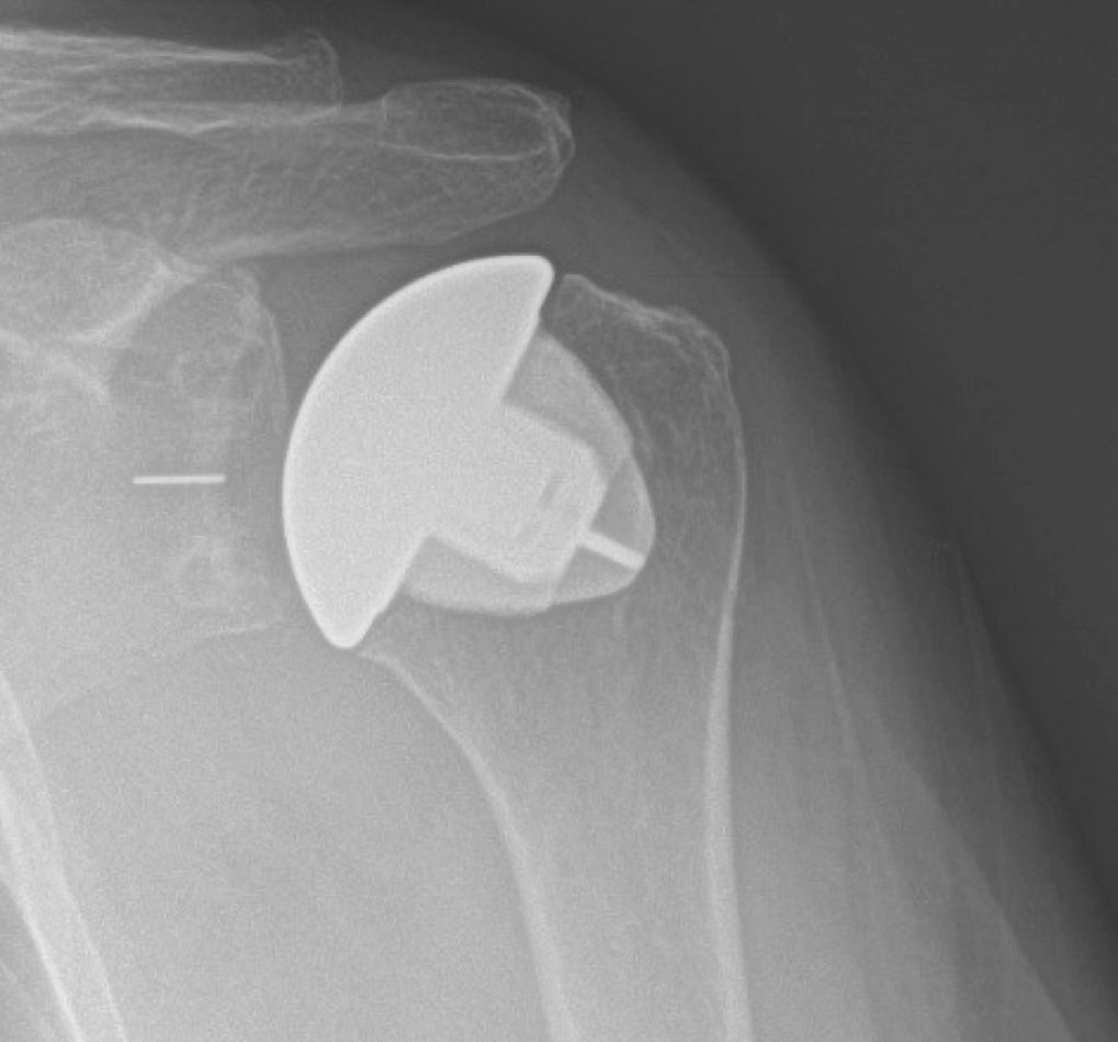
An anatomic total shoulder replacement involves resurfacing of the glenoid or "socket" with a plastic liner (high molecular weight polyethylene) and replacing the ball at the top of the arm (humeral head) with a metallic ball (usually cobalt chrome). Recovery is delayed after this procedure because the front rotator cuff tendon (subscapularis tendon) has to be cut to perform the procedure and then repaired once the implants are in place. This surgery is very successful at reducing pain and improving overall function. To be a candidate for an anatomic total shoulder replacement, you must have an intact rotator cuff, adequate glenoid bone stock to receive the plastic socket implant, and have significant pain refractory to non-operative treatments.

Pre-operative and post-operative x-rays of a patient with glenohumeral arthritis, treated with anatomic total shoulder replacement.
A video animation of anatomic total shoulder surgery.
The reverse total shoulder was developed to help patients who have rotator cuff tears and shoulder arthritis. With a damaged rotator cuff, conventional anatomic total shoulder arthroplasty implants wear out too quickly. A reverse total shoulder involves replacing the ball and socket joints; however, the ball is moved to the "socket" side, and the "socket" is placed on the ball or humeral head side. This medializes and distalizes the center of rotation, allowing the deltoid muscle to raise the arm.
Although initially the reverse total shoulder was used for patients with shoulder arthritis with rotator cuff tears, it can also be used successfully in patients with shoulder arthritis who have significant glenoid or "socket" bone loss, complex proximal humerus fractures, chronic dislocations, revision of anatomic total shoulders, massive irreparable rotator cuff tears, and patients at high risk of developing rotator cuff tears with arthritis (advanced age, rheumatoid arthritis, etc.).

Pre-operative and post-operative xrays of a patient with rotator cuff tear arthropathy, treated with reverse total shoulder.
A video animation of a reverse total shoulder surgery.
Partial shoulder replacement usually involves only replacing the ball side or humeral head, and it is termed a shoulder hemi-arthroplasty. In this procedure, the ball is replaced with a metallic head and the socket is left alone. This can be performed in very young patients with shoulder arthritis, fractures of the humeral head, and for pathology specific to the humeral head like avascular necrosis.

Pre-operative and post-operative xrays of a patient with humeral head avascular necrosis, treated with hemiarthroplasty surgery.